logo
主页 资讯 会议 直播 回放 相册
申请

VIP

会员
登录 | 注册
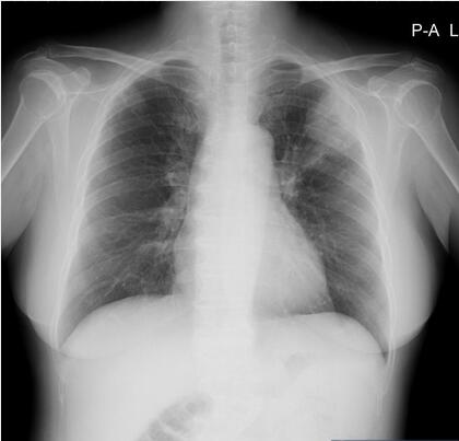
【答案公布】女,56岁,因特发性血小板减少行脾切除术前,胸部X片偶见肺部病灶
医脉通 10阅读 2016-05-03
【答案公布】腹部皮下钙化结节、重度高磷血症
医脉通 7阅读 2016-05-03
【听歌学英语】循环系统之歌
中国循环杂志 11阅读 2016-04-30
值夜班的十大危害
中国循环杂志 18阅读 2016-04-29
今年“千县万医”已走过五座城市
中国循环杂志 12阅读 2016-04-29
第二十七届长城会征文火热进行中
中国循环杂志 112阅读 2016-04-29
中国围手术期血糖管理共识十大要点
中国循环杂志 13阅读 2016-04-29
【一石二鸟】武汉亚心医院医生发现:冠脉CT可同时诊断冠心病和肺栓塞
中国循环杂志 18阅读 2016-04-29
【听讲座,看视频】尹潞:如何选择临床研究设计方法
中国循环杂志 14阅读 2016-04-29
关于中风,老百姓必须知道的5件事
中国循环杂志 18阅读 2016-04-29
  • 1
  • •••
  • 3339
  • 3340
  • 3341
  • 3342
  • 3343
  • •••
  • 3587
  • 跳至页

Copyright©2007-2022 MEDCON. All Rights Reserved.北京美迪康信息咨询有限公司 版权所有.

京ICP备11011505号-65 增值电信业务经营许可证:京B2-20201410 网络文化经营许可证:京网文[2020]-1907-290号

互联网药品信息服务资格证:(京)-非经营性2021-0044

京公网安备 11011502005438号

小程序码

会务通参会助手

二维码

会务通订阅号

二维码

会务通服务号

首页

会议

直播

视频

我的