logo
主页 资讯 会议 直播 回放 相册
申请

VIP

会员
登录 | 注册
【哈哈一笑】BMJ杂志一项研究称:圣诞老人染上了“铜臭气”,与圣诞老人合同该重新修订
中国循环杂志 8阅读 2016-12-24
BMJ圣诞特刊回顾:那些脑洞大开但一本正经的文章
中国循环杂志 8阅读 2016-12-24
情绪管理21条:不埋怨,学会欣赏他人
中国循环杂志 5阅读 2016-12-24
心血管外科手术围手术期血液管理——抗纤溶治疗指南七大要点
中国循环杂志 10阅读 2016-12-23
【阜外学院】12月26日(周一)节目预告
中国循环杂志 77阅读 2016-12-23
冠心病合并颈动脉狭窄专家共识的十大要点:四分之一冠心病患者颈动脉狭窄>50%
中国循环杂志 10阅读 2016-12-23
小心提防“假日心脏综合征”
中国循环杂志 10阅读 2016-12-23
张海澄:使用抗心律失常药五大注意事项
中国循环杂志 11阅读 2016-12-23
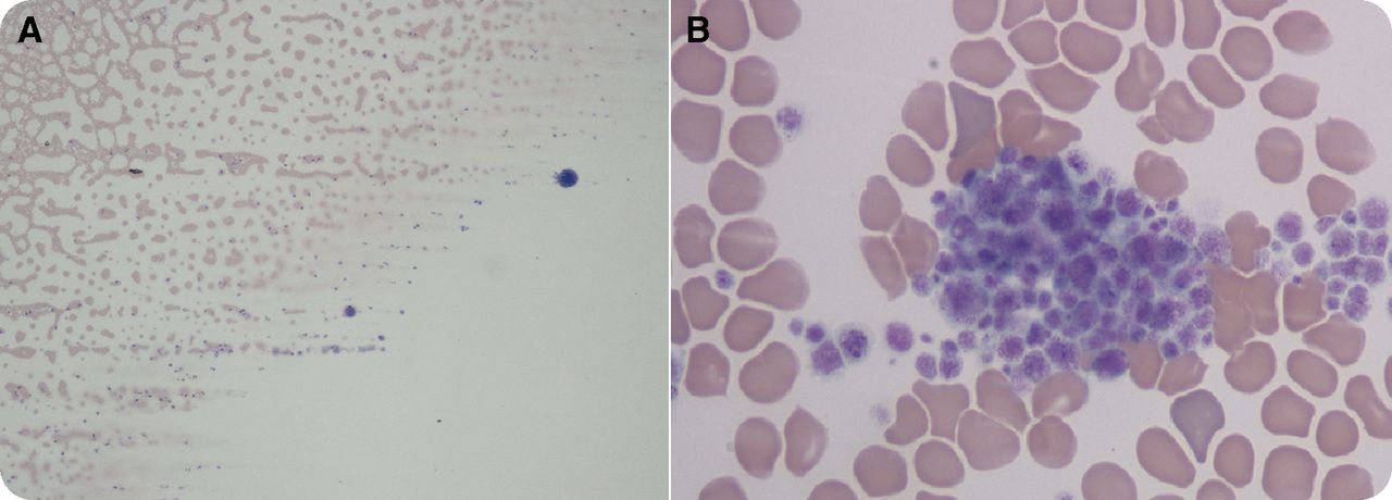
【答案公布】3岁患儿,血小板明显减少,外周血检测如图
医脉通 9阅读 2016-12-22
中国17万居民调查:3亿人高血压,2.6亿未控制,10年增加近1.4亿
中国循环杂志 18阅读 2016-12-21
  • 1
  • •••
  • 3234
  • 3235
  • 3236
  • 3237
  • 3238
  • •••
  • 3589
  • 跳至页

Copyright©2007-2022 MEDCON. All Rights Reserved.北京美迪康信息咨询有限公司 版权所有.

京ICP备11011505号-65 增值电信业务经营许可证:京B2-20201410 网络文化经营许可证:京网文[2020]-1907-290号

互联网药品信息服务资格证:(京)-非经营性2021-0044

京公网安备 11011502005438号

小程序码

会务通参会助手

二维码

会务通订阅号

二维码

会务通服务号

首页

会议

直播

视频

我的